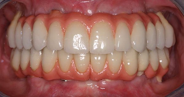
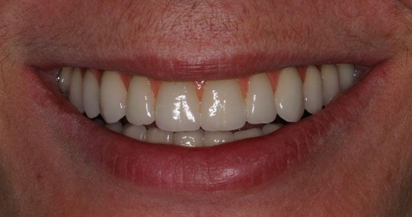
Implant Crowns Case 1



Full mouth implant rehabilitation, screw-retained, with individual crowns cemented on top.
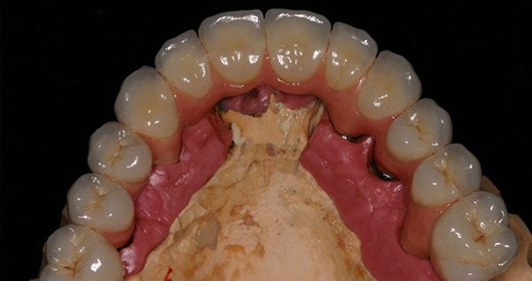
Implant Crowns Case 2



Full mouth implant rehabilitation, cement-retained.
Implant Crowns Case 3
Full mouth implant rehabilitation, cement-retained.
Implant Crowns Case 4


Extended implant restoration with pink ceramic.
Implant Crowns Case 5


Individualised hybrid restoration, made of composite.
.

